Service
服務介紹
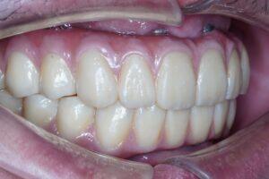
一日全口重建 All on 4
一天手術,全口重建
『 療效迅速,恢復如春風拂面 』
All-on-4全口重建是一種全新的植牙技術,全口煥新,只需4根植體,一天內即可讓您恢復牙齒功能與美觀。比傳統方法更省時、省錢,更少痛苦。
牙齒美容
實現牙齒自然透白、裡外協調的夢想
『 黃金比例微笑,展現自信魅力 』
陶瓷貼片打造自然透亮、不易染色的完美笑容,透過微笑曲線設計與專業客製化評估,確保每顆牙齒比例協調,讓您自信綻放、笑容更精緻迷人。
Equipment
泉玥設備
泉玥配備先進醫療設備,提供精準診斷與高效治療



















