根管治療,或俗稱「抽神經」,常令許多患者感到恐懼,主要因為對於其疼痛和復雜性的擔憂。
然而,隨著現代牙科技術的進步,根管治療已變得更加精確與可靠,大幅降低了不適感。本文將逐一介紹根管治療的必要性、過程、以及如何透過現代牙科技術改善治療效果。
何時需要進行根管治療?
根管治療通常在以下情況下進行:
- 深層蛀牙導致牙髓受感染。
- 嚴重牙周病或根尖周炎。
- 物理損傷,如牙齒裂痕或碎裂。
- 過去的根管治療失敗,需要重新根管治療
這些情況可能引起牙髓(牙齒內部的神經與血管)發炎或壞死,治療目的是去除感染組織,恢復牙齒功能。


根管治療的步驟
根管治療的基本步驟包括:
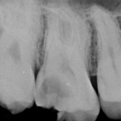
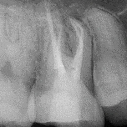
- 診斷與評估:牙醫透過X光片和臨床檢查確認受影響的牙髓狀態。
- 訪問牙髓:在局部麻醉下開啟牙齒表層,進入牙髓腔。
- 清除感染組織:細致地移除受感染的牙髓組織。
- 根管填充:用專業材料填充清潔後的根管,封閉以防微生物再次入侵。
- 牙齒重建:通常會使用全瓷冠來保護治療後的牙齒,增強其結構強度。
現代根管治療技術的優勢
進階的根管治療技術,如顯微鏡根管治療,提供了更大的視野和精確照明,使得治療更為精確和效率更高。
這種方法不僅增加了治療的成功率,也減少了患者的不適感。此外,先進的超音波設備和專用根管銼針等工具,能更有效地清理根管內的感染物質。


根管治療後的照護
完成根管治療後,為保護牙齒避免未來的疾病或損壞,以下是一些重要的保護措施:
- 安裝全瓷冠:為了提高牙齒的耐用度和美觀,通常會建議安裝全瓷冠。
- 定期檢查:定期回診確保治療效果持久並及早發現可能的問題。
- 良好的口腔衛生:持續保持口腔衛生,使用牙線和漱口水,減少細菌堆積。
結語
根管治療是一個有效的方法來救治受感染的牙齒,避免牙齒拔除。
選擇配備高端設備和經驗豐富的牙醫師進行治療,可以顯著提升治療的舒適度和成功率。
如有更多疑問或需要專業諮詢,請聯繫我們的牙科診所,我們隨時準備為您提供專業的服務和支持。
