完美的笑容來自於整潔的牙齒和自然的表現。
儘管如今大部分時間都需要佩戴口罩,但這並未阻擋人們在疫情期間悄悄改善自己笑容的熱情。牙齒微矯正成為了許多想要低調變美的人的首選。
微矯正的高效與經濟性
矯正牙齒並不像你想像中的那麼麻煩或昂貴。如果清楚自己的需求,有些人僅需簡單的療程即可達到理想效果。新式的微矯正技術不僅費用比傳統矯正便宜,療程也更短,效果超出預期。
適合微矯正的族群
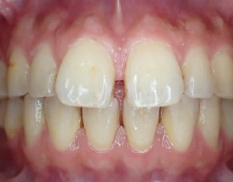
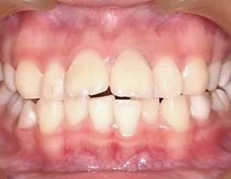
你是否曾經因為牙齒問題而在大笑時感到不好意思,需要用手遮掩?即使牙齒沒有太大問題,但小縫隙或不整齊仍然讓你無法自信展現真實自我?微矯正正是為這些小問題提供了解決方案:



短時間內達到理想效果
微矯正在國外已經風靡一時,因其配戴方便且隱形,受到廣泛歡迎。
美國甚至可以在線上直接訂購矯正器。透明隱形的微矯正方式,配戴時幾乎看不到,特別適合前牙有小問題的族群。
僅需兩週即可達到0.25mm的移動效果,8週即可解決1mm的門牙縫隙問題。

微矯正特別適合前牙有些小狀況的族群,只需要配戴2週,就可以讓困擾許久的門牙縫隙問題獲得解決。
經濟實惠,專業認證至關重要
許多人擔心牙齒矯正費用昂貴,隱形矯正往往需要十幾萬至二十幾萬,讓人望而卻步。
然而,前牙的美觀改造可以從經濟實惠的微矯正開始。泉玥牙醫診所特別推出針對前排牙齒的隱形矯正療程,僅需6至8萬元,便可讓您自信展現笑容。
微矯正常見問題
Q:門牙縫隙大概要多少時間進行矯正呢?
如果是大約1mm的寬度,配合醫師只要2個月就能調整完成,但如果暴牙很嚴重,必須移動到2mm以上就不適合微矯正,可諮詢醫師評估其他方式來改善。
Q:微矯正的費用可以做到什麼程度呢?
泉玥6萬元的療程會經過完整評估治療,大概進行7~8個月時間就可調整完成前排牙齒的整齊。但如果牙齒過度凌亂,可以與醫師討論後,看是否進行其他療程,費用另計。
Q:微矯正需要多久時間?
平均為6個月,有些較快3個月就能完成。前期評估相當重要,會透過掃描以電腦計算牙齒需要移動的精準距離,都是透過客製化方式針對不同人的需求來評估時間與進行療程。
Q:微矯正可以只做上排或下排嗎?
可以的,然而牙齒咬合需要上下排的協調才能打造美感,如果只排列一半可能會導致咬合有縫隙,建議與醫師討論進行完整評估再來進行。
Q:微矯正需要拔牙或磨牙嗎?
一般人擔心矯正需要拔牙,會有骨頭吸收太多、臉頰凹陷情形,微矯正即便是牙齒擁擠的狀況下,需要磨開牙縫的部分只有0.4~0.5mm,屬於很安全的範圍不需太擔心。
Q:暴牙問題可以用微矯正處理嗎?
暴牙會需要做牙齒退後的療程,牙齒退後通常適合1mm左右、橫向移動至2mm,如果暴牙很明顯或是特別想針對暴牙問題改善,會建議做傳統矯正、搭配骨釘的方式較有效果。
Q:微矯正是否需要常回診?
微矯正只要是每個月矯正結果在預期內,或者沒有其他狀況是可以不用頻繁回診的。
#加入LINE@ 幫您線上免費評估(可上傳門牙照片、看到8顆牙齒的範圍)
