隨著醫療科技進步,全口重建的選擇也越來越多元。其中,All on 6 植牙技術正逐漸受到重視,對於骨質條件尚可的中高齡族群來說,這項技術提供了更穩固、壽命更長的植牙方案。
All on 6 是什麼?一次搞懂技術原理與差異!
All on 6 是一種全口植牙技術,透過在單顎植入六根植體,作為整排假牙的支撐點,進行固定式假牙的重建。與 All on 4 相比,多了兩根植體,不僅能分散咬合力道,也有助於提升長期穩定性與使用壽命。
✅ All on 6 與 All on 4 的差別是什麼?
| 項目 | All on 4 | All on 6 |
|---|---|---|
| 植體數量 | 4 根 | 6 根 |
| 適合條件 | 骨質不足者 | 骨質尚可者 |
| 穩定度 | 中等穩固,對醫師技術要求度高 | 更高穩固 |
| 成本預算 | 相對較低 | 略高 |
| 使用年限 | 約15-20年 | 可望超過15年 |

誰適合選擇 All on 6 植牙?
- ✔️ 50 歲以上、缺牙多年者
- ✔️ 骨質條件尚佳、無重大慢性疾病者
- ✔️ 希望追求更高穩定度與美觀度的患者
- ✔️ 想要降低假牙損耗機率、延長使用壽命者
醫師評估是否適合 All on 6,會參考患者的顎骨密度、健康狀況與生活習慣,透過 3D 電腦斷層(CBCT)及數位導引,確保手術安全與準確。

All on 6 植牙流程簡介
- 初診評估與拍攝3D影像
- 數位規劃植體位置與角度
- 無痛微創植體手術(或舒眠植牙)
- 臨時牙固定,當天恢復基本咀嚼功能
- 3~6個月後安裝最終全瓷牙橋
專業推薦:數位導引植牙的優勢與流程介紹
All on 6 的優點與常見疑問
✅ 優點總整理:
- 穩定度更佳:六根植體分散壓力,減少假牙損壞機率。
- 咬合力更強:適合經常進食堅硬食物者。
- ⏳ 延長使用壽命:保養得宜可超過 15 年。
- 支撐更平均:降低牙齦萎縮與骨流失風險。
❓ 常見問題 Q&A
Q1:All on 6 價格大約多少?
A:依據材質與診所位置不同,全口 All on 6 的價格約落在 50~80 萬元/顎,也可視需求選擇分期付款。
Q2:手術會痛嗎?恢復期多久?
A:多數診所採用舒眠麻醉或微創手術,患者幾乎無明顯疼痛感。術後腫脹約 3~5 天,1 週可正常進食。
Q3:可以直接從活動假牙改 All on 6 嗎?
A:若骨質足夠且健康條件許可,可以直接改為固定式 All on 6,大幅提升生活品質。
All on 6 值得信賴的選擇 — 泉玥牙醫診所的優勢
泉玥牙醫團隊擁有逾十年以上植牙經驗,結合 3D 數位植牙導引、全瓷美學修復 與 舒眠無痛技術,讓每位患者都能放心接受全口重建。
✅ 我們的特色包括:
- 專業醫師評估,為您設計個人化植牙方案
- 即拔即種即裝牙,快速恢復自信笑容
- 一條龍技術中心,從手術到假牙製作全程掌控
☎️ 馬上預約諮詢:點我聯絡我們
結語:找回咬合力與自信笑容,從 All on 6 開始!
對於追求長期穩定與美觀的您來說,All on 6 是值得投資的選擇。不只是植牙,更是一場重建生活品質的革命。立即預約專業評估,與專業團隊一起設計屬於您的完美重建方案!
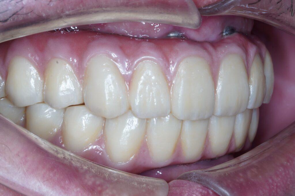
林楚喬醫師All on 6成功案例


林楚喬醫師
「十年前,我曾遠赴哈佛參加國際植牙研討會,第一次接觸 All-on-4 技術時,我內心震撼。那不只是牙科的新技術,更是一種『讓患者短時間內重拾尊嚴與生活品質』的醫療革命。」
我是在 All-on-4 尚未普及時,就開始投入研究與實作的少數台灣醫師之一。那時很多人質疑:四根植體真的撐得起整口牙齒嗎?
但我用每一位成功案例,一步步證明:只要設計得當、技術到位,就能讓患者告別痛苦與限制。
至今,我已幫助超過百位中重度缺牙者完成全口重建,有的是老師、有的是企業主、有的是長年忍耐活動假牙的長輩。他們的笑容,就是我最大的成就。
「我相信醫療不只是技術,更是『理解人』的藝術。每一位願意信任我的人,我都會用最高標準、最細膩的設計,陪他走過這段改變人生的旅程。」
